Điều Trị Viêm Lợi Hiệu Quả – Bí Quyết Từ Nha Khoa Siam Dental
Viêm lợi không chỉ gây đau nhức khó chịu mà còn tiềm ẩn nguy cơ ảnh hưởng nghiêm trọng đến sức khỏe răng miệng nếu...
Phục Hình Răng Gãy Bằng Răng Sứ – Giải Pháp Hoàn Hảo Tại Nha Khoa Siam Dental
Răng gãy không chỉ gây khó khăn trong việc ăn nhai mà còn ảnh hưởng lớn đến thẩm mỹ và chất lượng cuộc sống. Vậy...
Quy Trình Điều Trị Viêm Nha Chu – Tìm Hiểu Cùng Nha Khoa Siam Dental
Viêm nha chu nếu không được điều trị kịp thời có thể dẫn đến mất răng và nhiều biến chứng nguy hiểm khác. Vậy quy...
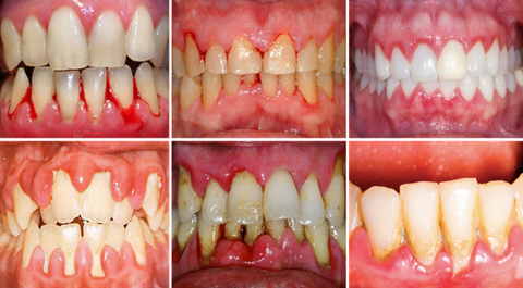
Phân Biệt Viêm Lợi Và Viêm Nha Chu – Giải Đáp Từ Nha Khoa Siam Dental
Bạn có thường xuyên gặp phải tình trạng nướu sưng, đỏ và chảy máu khi đánh răng không? Đó có thể là dấu hiệu của...